
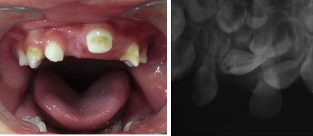
The picture above shows the oral cavity of a 2-year-old boy, presented with complaint of non-eruption of few teeth, as explained by his mother. Detailed developmental history was taken to rule out developmental disorder. The child was born at term through natural delivery and the birth weight was normal. There was no complication during antenatal, perinatal, and postnatal period. The child was vaccinated. Past medical history revealed prior maxillofacial trauma secondary to fall from height at the age of 6 months. Even though, the child was taken to hospital immediately, no examination of oral cavity was varied out at that time. Oral examination and investigations revealed defects ranging from root dilaceration to defects of enamel in few teeth. The non-erupted secondary teeth also showed malformation and odontomas. Management plan consisted of surveillance and periodic dental visits. Surgical intervention was also considered. Excisional biopsy was carried out for suspected odontoma. Source Rare dental developmental disturbance in primary and permanent teeth following trauma prior to tooth eruption: Case report https://onlinelibrary.wiley.com/doi/abs/10.1111/edt.12500 Image via https://onlinelibrary.wiley.com/doi/abs/10.1111/edt.12500
Happened to a pet dog of mine. He was Bitten by another dog and the canine bottom left, never grew!!