
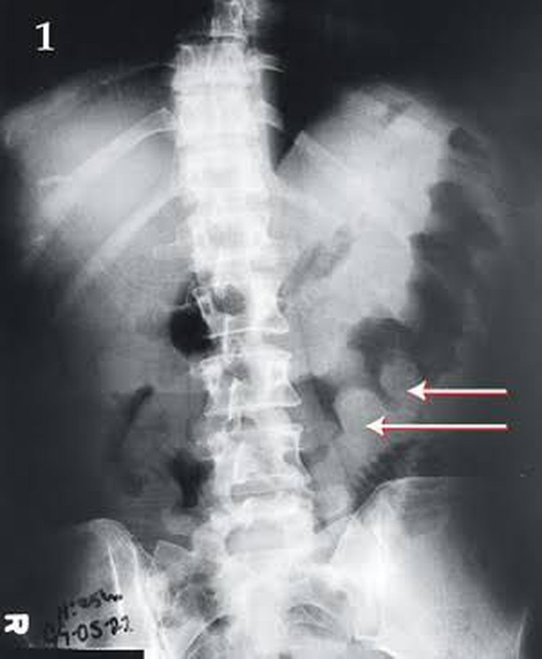
A 39 year old female with AIDS presented to OPD with a history of watery Diarrhea, nausea and vomiting for four days. The patient was afebrile and a clinical examination revealed distended abdomen without rebound tenderness. Labs were normal and stool cultures were negative. A CT scan and abdominal x-ray was conducted, which showed thumbprint sign. A suspicion of pseudomembranous colitis was made. Later, colonoscopy was also conducted which showed a colon having yellow plaques, thus confirming the diagnosis. The patient was administered oral metronidazole and improved subsequently. Ref: Moishe Liberman, Chris Labos and Jeff Wiseman Med J Aust 2003; 179 (2): 107. || doi: 10.5694/j.1326-5377.2003.tb05448.x