
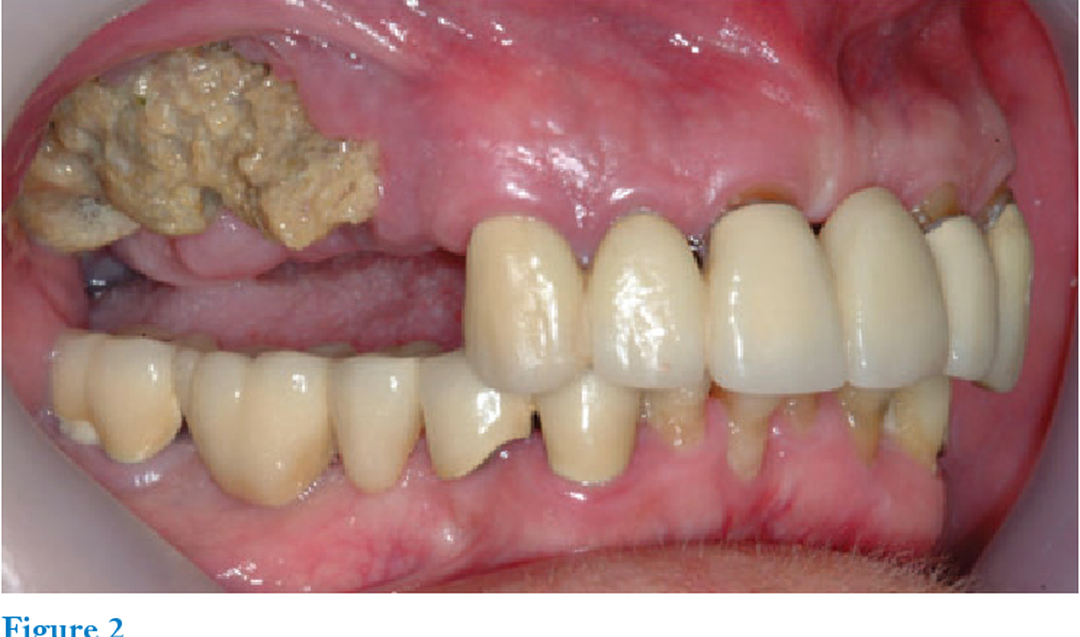
Bisphosphonates are the drugs used in the management of osteoporosis as well as other conditions such as Paget's bone disease, skeletal metastasis and osteogenesis imperfecta. They function by inhibiting osteoclast-mediated bone resorption. However, their administration carries certain risks and complications. One of them is the osteonecrosis of jaw bone. This is most commonly seen with high doses and intravenous drug administration. Image via: Ruggiero SL, Mehrotra B. Bisphosphonate-related osteonecrosis of the jaw: diagnosis, prevention, and management. Annu Rev Med. 2009;60:85-96. doi: 10.1146/annurev.med.60.063007.134350. PMID: 18928335.