
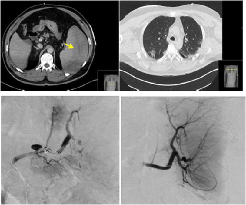
Just like CoVid-19, which is an expeditiously evolving situation, the presentation of said infection is also changing rapidly. Initially, SARS-CoV2 was thought to damage only respiratory system, however, the systemic involvement and enteric symptoms are also associated with CoVid-19. According to the literature, CoVid-19 directly affects spleen and lymph nodes, resulting in subsequent splenic nodule atrophy and lymphocyte depletion. These conditions result in microvascular thrombosis and necrosis of spleen. A journal reported a case where a previously healthy 57 years old male CoVid-19 positive patient presented to ER with altered state of consciousness with raised respiratory rate and shortness of breath at rest. Patient also gave history of abdominal pain. On examination, crackles were auscultated on both lungs. The abdomen was tender. Patient was hypotensive and tachycardic with 128 bpm. CT was suggestive of hemoperitoneum. Extracapsular rupture of spleen was noticed. All possible causes of splenic rupture, including trauma, were ruled out. Hemodynamic and ventilatory support was provided. Splenic artery embolization was performed to control bleeding. The patient recovered after 24 days. Ruling out all the possible causes indicated possibility of covid-19 as prime culprit in splenic rupture in patient suffering from covid-19 infection. Source Atraumatic splenic rupture due to covid-19 infection https://www.sciencedirect.com/science/article/pii/S2590170220300297 Image taken from https://www.sciencedirect.com/science/article/pii/S2590170220300297