
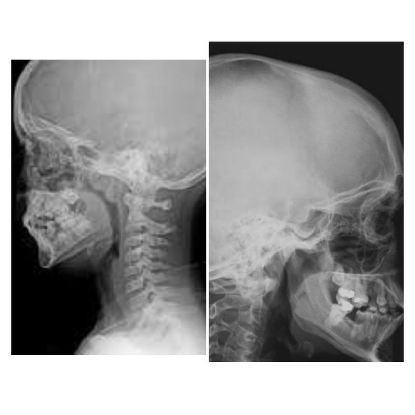
Compare the two x-ray films which show the lateral views of the paediatric skull. The air appears black and hence, the patent airway is black and any growth in the airway will obstruct it. The image on the left shows that the black of the nasopharynx is decreased due to a soft tissue growth just inferior to the skull base. This is the enlarged adenoid. Adenoids are masses of lymphoid tissues and are frequently enlarged in children, especially those who have upper respiratory infections. Compare it with the normally patent airway on the right where there is nothing obstructing the nasopharynx. Image via: www.radiopaedia.org