
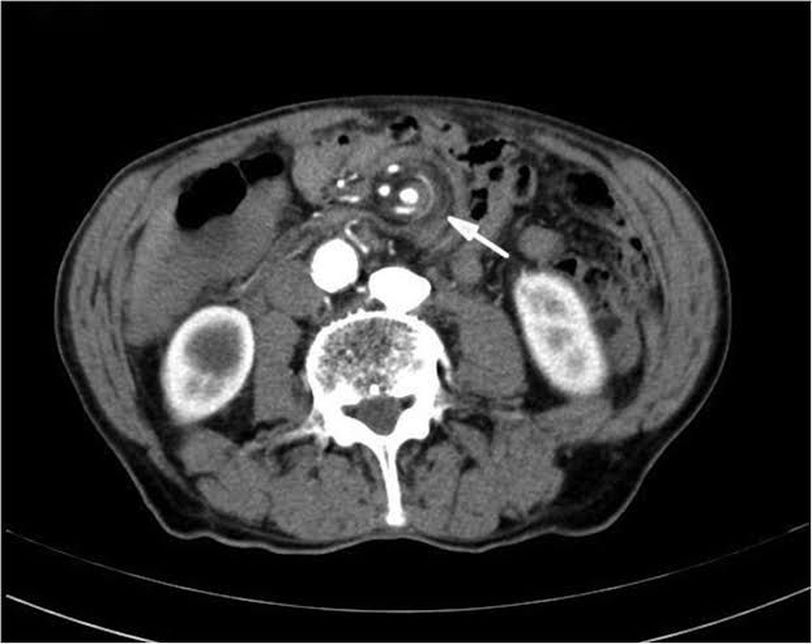
The image shows a classical Whirlpool sign, a radiological finding seen in midgut volvulus. A condition which arises due to the malrotation of intestines. It is one of the important but fatal causes of intestinal obstruction in neonates. The bowel along with mesentery abnormally twists around the superior mesenteric artery, compromising the vascular supply and leading to life threatening complications.