
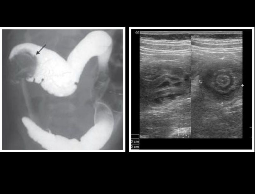
The left image shows CLAW SIGN after a barium enema whereas the right image reveals DOUGHNUT or TARGET SIGN on ultrasound. Both these radiographic findings can be seen in a condition called intusussception. In this condition, a segment of bowel slides into the lumen of the adjacent bowel. It may occur either due to the presence of a pathological entry point such as duplicated intestine or polyp, or it may be associated with intestinal malrotation. The child presents with constipation and on abdominal examination, a sausage shaped swelling may be palpated with convexity facing the umblicus. The right iliac fossa may be empty on palpation. There may be a history of passage of red currant jelly like stool. The ultrasound reveals target or doughnut sign which is actually an intestinal loop within loop. Barium enema reveals claw sign at the site where intusussception has occurred. Image credits: https://radiopaedia.org/cases/intussusception-transient-small-bowel?lang=gb https://www.jaypeedigital.com/book/9789385999000/chapter/ch4