
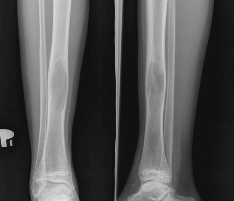
Platelet Rich Plasma (PRP) has become a very popular procedure for cosmetics as well as medical purposes. In past few years, it has been widely used in the healing of wounds, ulcerations and skin injuries. Although it has innumerable benefits, the safety of PRP use is not certain. Here is a case summary of an allergic reaction to PRP treatment. A 14-year-old boy, presented in the hospital with a simple bone cyst of Distal Tibia. After routine labs the patient was qualified for injection of PRP into the site of the bone cyst. An IV anesthesia (propofol ) was administered and a 3 ml of PRP was injected into the cyst. There were no complications during the procedure. However, within the next 24 hours the patient presented with widespread skin rash accompanied by pharyngitis and tonsillar enlargement. A series of prick testing and intradermal testing for serum IgE levels specific for different allergens were conducted, which turned out to be negative. The patient was given Claritine and Clemastin (antihistamines) for the treatment. Within 4 days the symptoms subsided, and the patient was discharged. Reference: Latalski, Michal MD, PhDa,*; Walczyk, Alicja MDb; Fatyga, Marek MD, PhDa; Rutz, Erich MD, PhDc; Szponder, Tomasz MD, PhDd; Bielecki, Tomasz MD, PhDe; Danielewicz, Anna MDa Allergic reaction to platelet-rich plasma (PRP), Medicine: March 2019 - Volume 98 - Issue 10 - p e14702 doi: 10.1097/MD.0000000000014702