
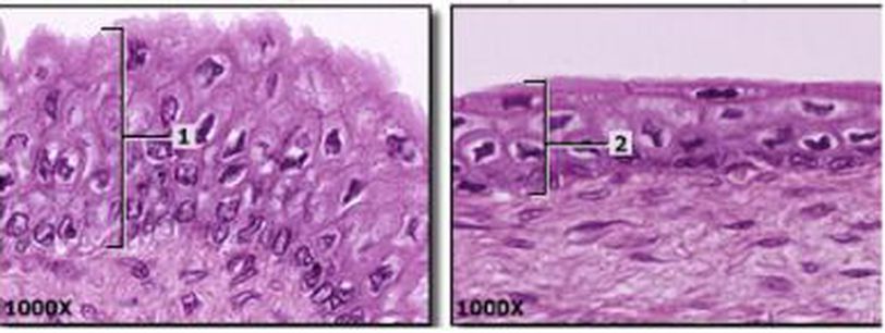
Identify the given histological slides! Comment on what changed from figure 1 to 2 and why. (Image via: https://www.studyblue.com/notes/note/n/anatomy-and-physiology-study-guide-2015-16-bruins/deck/16405489 )
The answer is transitional epithelium lining the urinary bladder. The cells have the capacity to become compact and allow distention of the walls without significantly raising the internal pressure of the urinary bladder.