
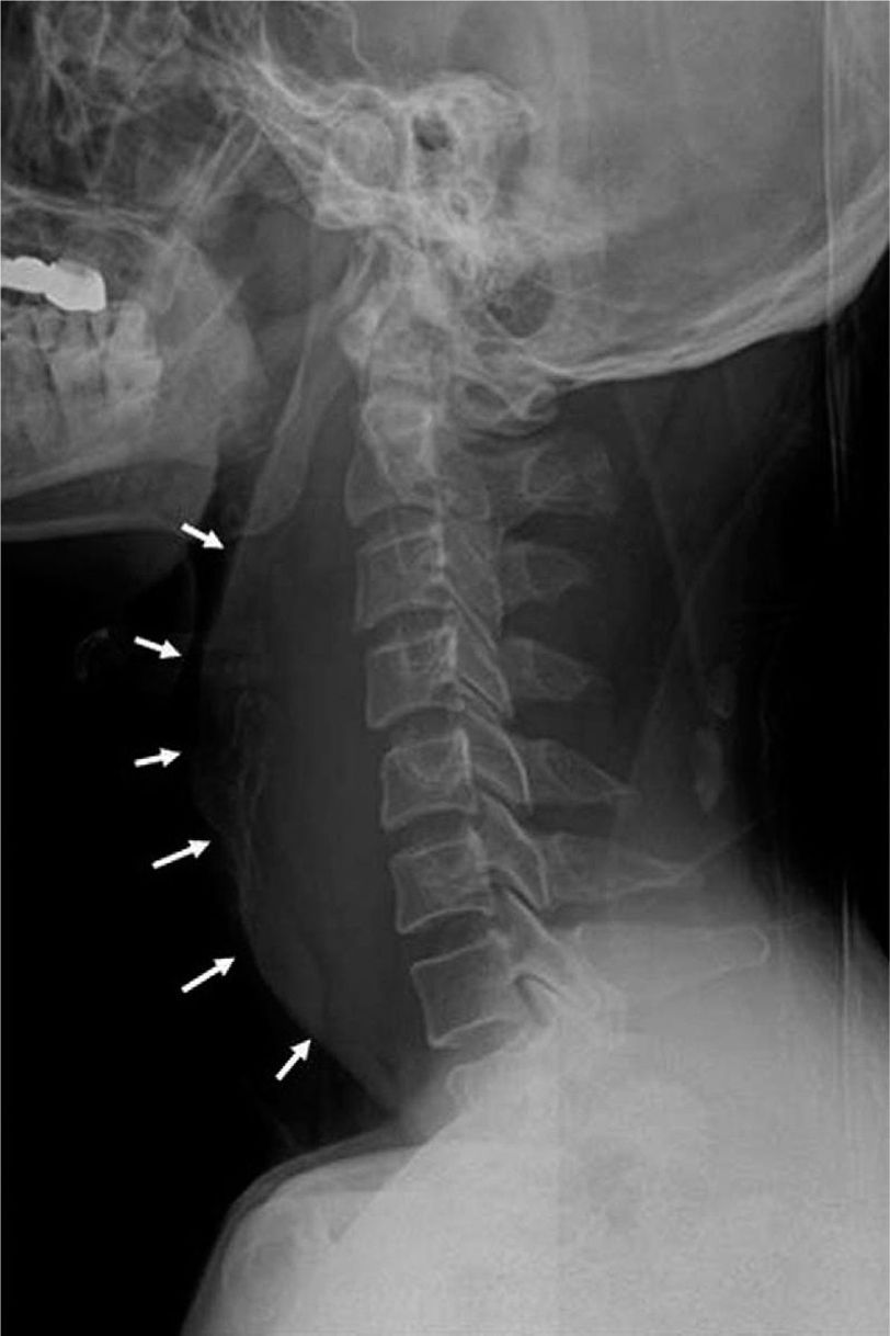
The biggest challenge faced by ER doctors and trauma surgeons is to identify all the potential injuries, both visible and concealed, and ensuring timely appropriate management in order to reduce morbidity and mortality. According to available literature, 1.3% to 39% of injuries may go unnoticed due to inadequate investigations in trauma patients. One such insidious injury is development of retropharyngeal hematoma as a result of major cervical trauma; however, a report described an anomalous case of retropharyngeal hematoma associated with minor blunt trauma. A 49-year-old gentleman was presented with history of road traffic accident which resulted in hyperextension of neck with no other visible injuries. The patient visited ER due to mild respiratory distress. Preliminary investigations were conducted; however, patient was discharged due to insignificant findings with clear instructions to visit ER if symptoms worsen. Patient presented 2 hours after discharge with dyspnea. Physical examination was unremarkable and vital signs were normal. Patient was intubated secondary to worsening dyspnea. Radiological investigations divulged an intense retropharyngeal hematoma. Neck exploration was done for hemorrhage control and removal of hematoma. Patient was discharged with no complications. Retropharyngeal hematoma is extremely hazardous if not identified earlier. Literature suggests frequent vigilant monitoring of minor trauma patients in order to timely identify potential life-threatening condition, several hours after trauma. Reference: Retropharyngeal hematoma secondary to cervical hyperextension in a minor collision trauma presenting with dyspnoea https://journals.lww.com/md-journal/subjects/Critical%20Care%20and%20Emergency%20Medicine/Fulltext/2020/07310/Retropharyngeal_hematoma_secondary_to_cervical.129.aspx (Image taken from: https://journals.lww.com/md-journal/subjects/Critical%20Care%20and%20Emergency%20Medicine/Fulltext/2020/07310/Retropharyngeal_hematoma_secondary_to_cervical.129.aspx)