Feed
Library
Learning
Discuss
Leaderboard
Journal
Sign in
Login
Sign up
Sign in
Feed
Library
Learning
Discuss
Leaderboard
Journal
Cyrine khader
almost 8 years ago
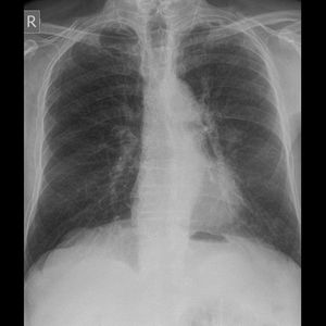
Chest X-ray
79 years old man with cough and dyspnea What is your diagnosis?
Medicine
Case
Cough
543
2
1
Top rated comment
Amithabh Anand
almost 8 years ago
Aortic anurysm..?
0
Reply
Cyrine khader
almost 8 years ago
Emphysma
1
Other comments
Sign in
to post comments. You don't have an account?
Sign up now!
Related posts
Vestibuloplasty case study
Congenital Spinal Meningocele
Breastfeeding and Medications II
Apical cystectomy
Mandibular deviation following Hemimandibulectomy
Neurofibromatosis
Women’s Reproductive Health & Daily Wellness
Gelatine Sculpt | Official Website
BurnSlim Official | Support Your Weight Management Journey
Recent MCQs
Show more MCQs
Recent flashcard sets
Show more flashcards
Feed
Learn
Add
Search
Discuss