
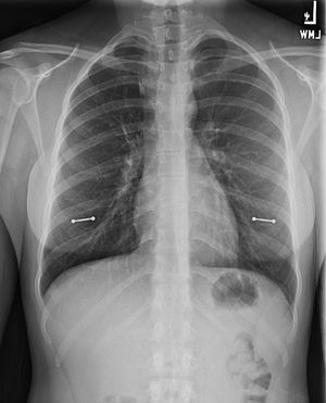
Hereβs an interesting foreign body observed on an X-ray! Or is it foreign at all? Here we have not one, but two dumbbell-shaped foreign bodies overlying the chest π©π© If you know what they are comment below! This is just a friendly reminder that we see EVERYTHING in radiology. Credit: imgur, user: narwallaby