MEDizzy
MEDizzy
Path Chick
Path Chickover 7 years ago
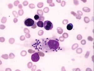
After histological examination what would be your diagnosis?

After histological examination what would be your diagnosis?

This is a smear that was aspirated from an ulcerative skin lesion.

6
Top rated comment
over 7 years ago

Leishmaniasis

over 7 years ago

Yes! Good job !!

Other commentsSign in to post comments. You don't have an account? Sign up now!
over 7 years ago

Thanku

over 7 years ago

Do you know what causes this? Or what the prognosis is?

Recent MCQs















Show more MCQs

Recent flashcard sets















Show more flashcards