
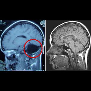
Complete cerebellar agenesis!! No brainer - notice a hole at the back where the cerebellum should be, compared to a normal brain! This woman has reached the age of 24 without anyone realising she was missing a large part of her brain. She is one of 9 people who are known to have lived without their entire cerebellum! The discovery was made when the woman was admitted to hospital complaining of dizziness and nausea. She told doctors she’d had problems walking steadily for most of her life, and her mother reported that she hadn’t walked until she was 7 and that her speech only became intelligible at the age of 6. Doctors did a CAT and MRI scans and immediately identified the source of the problem – her entire cerebellum was missing (see above). The space where it should be was empty of tissue. Instead it was filled with cerebrospinal fluid, which cushions the brain and provides defence against disease. The cerebellum, known as the “little brain”, is located underneath the two hemispheres. It looks different from the rest of the brain because it consists of much smaller and more compact folds of tissue, representing 10% of the brain’s total volume but contains 50% of its neurons. The cerebellum’s main job is to control voluntary movements and balance, and it is also thought to be involved in our ability to learn specific motor actions and speak. Problems in the cerebellum can lead to severe mental impairment, movement disorders, epilepsy or a potentially fatal build-up of fluid in the brain. However, in this woman, the missing cerebellum resulted in only mild to moderate motor deficiency, and mild speech problems such as slightly slurred pronunciation. Source - New Scientist Journal.