Feed
Library
Learning
Discuss
Leaderboard
Journal
Sign in
Login
Sign up
Sign in
Feed
Library
Learning
Discuss
Leaderboard
Journal
Saman Jaff
about 1 year ago
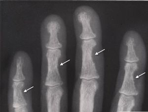
Hyperparathyroidisim
Peroisteal reaction in radical part of fingers ( in middle part )
Radiology
Endocrinology
Saman
37
0
18
Other comments
Sign in
to post comments. You don't have an account?
Sign up now!
Related posts
Parathyroid glands
Parathyroid hormone
How to Read MRI I
How to Read MRI II
Basic Brainstem Radiology
Spine Radiology I
Spine Radiology II
Hyperparathyroidism
Thyrotoxicosis
Recent MCQs
Show more MCQs
Recent flashcard sets
Show more flashcards
Feed
Learn
Add
Search
Discuss