
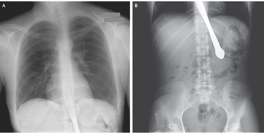
A 30-year-old woman with a history of bulimia presented to the emergency department after swallowing a knife. She inserted the knife into the posterior oropharynx to demonstrate to her companions that she no longer had a gag reflex. When she unexpectedly laughed, the knife migrated into her esophagus, causing chest discomfort and hematemesis. Anteroposterior chest and abdominal radiographs (Panels A and B) revealed a knife within the distal esophagus and proximal stomach, without evidence of pneumothorax, pneumomediastinum, or pneumoperitoneum. A rigid esophagogastroduodenoscopy was performed to remove the knife. The esophagus and stomach otherwise appeared grossly normal. A swallowing study showed no extravasation of contrast material from the upper gastrointestinal tract, and the patient subsequently resumed eating without complications. Her husband later disclosed that 4 years earlier she had swallowed a knife that required surgical removal with exploratory laparotomy. Consultation with a psychiatrist was recommended, and the patient was later transferred to an inpatient psychiatric unit.