MEDizzy
MEDizzy
george cedric
george cedricalmost 8 years ago
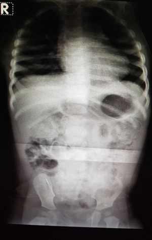
Foreign body ingestion by 11 month baby

Foreign body ingestion by 11 month baby

Guess where and what is the foreign body

12
Top rated comment
almost 8 years ago

A straight pin?? On lower left of xray, patient's lower right??

almost 8 years ago

Your right Mark.:)

Other commentsSign in to post comments. You don't have an account? Sign up now!
almost 8 years ago

A pin

Recent MCQs















Show more MCQs

Recent flashcard sets















Show more flashcards