
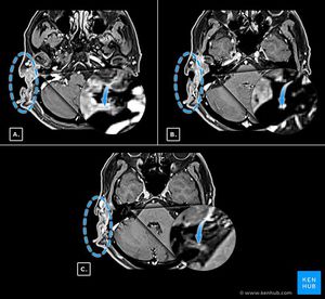
A43yr old male with (NF1)was seen because of a growing subcutaneous tumor of the right postauricular region .the tumor had been partially resected previously and had been shown histologically to be malignant peripheral nerve sheath tumor (MPNST)which presumably developed from a benign neurofibromatosis tumor .the patient didn’t have facial nerve paralysis or hearing impairment!!!MRI showed subcutaneous lesions from the enlarged stylomastoid foramen and also enlarged facial canal