
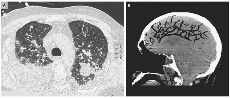
A 42-year-old man had acute respiratory failure after receiving all-trans retinoic acid for the treatment of acute promyelocytic leukemia. Computed tomography (CT) of the chest revealed multiple nodular lesions (Panel A), which on biopsy showed invasive aspergillus species. The patient was treated with antifungal therapy and received mechanical ventilation. His clinical condition was improving when he had an episode of sudden and severe hemoptysis, followed by cardiac arrest. He was resuscitated, but subsequently a severe neurologic deficit developed. A brain CT scan revealed cerebral air embolism, especially in the anterior arterial-circulation territory, with accompanying cerebral edema (Panel B). Cerebral air embolism can be caused by positive-pressure maneuvers performed during cardiac resuscitation, lung biopsy, and the placement of venous catheters in the presence of a patent foramen ovale. Lung biopsy was not performed in this patient, and venous catheters were already in place. Cardiac resuscitation maneuvers were the likely cause of the condition in this patient. Diffuse cerebral edema developed, and the patient was declared brain dead on the fifth day after diagnosis.
What is the manifestation of cerebral air embolism and what appropriate managment if discovered early