
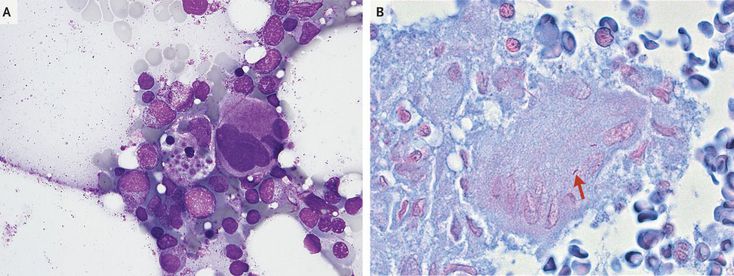
A 63-year-old man with chronic obstructive pulmonary disease (COPD) presented to the emergency department with fever, shortness of breath, and confusion. He had a 6-month history of fatigue, anorexia, and weight loss of 6.8 kg and had received treatment for what was thought to be symptoms of a COPD exacerbation and pneumonia. He reported no cough, hemoptysis, or recent travel. The patient’s temperature was 39.3°C, the respiratory rate was 32 breaths per minute, and the oxygen saturation was 91% while he was breathing 6 liters of supplemental oxygen. Laboratory studies showed a platelet count of 99,000 per cubic millimeter (reference range, 160,000 to 370,000) and a ferritin level of 17,189 ng per milliliter (reference range, 22 to 275). Computed tomography of the chest revealed pulmonary opacities in both lungs without nodularity or cavitation. Gram’s staining of sputum and bacterial cultures of sputum and blood were negative, and an interferon gamma release assay was indeterminate. Given progressive thrombocytopenia, the elevated ferritin level, and refractory sepsis, bone marrow biopsy was performed. The biopsy revealed hemophagocytosis (Panel A; Wright–Giemsa stain) as well as noncaseating granulomas with acid-fast bacilli (Panel B, arrow; Ziehl–Neelsen stain). Mycobacterium tuberculosis was identified by DNA probe of both the bone marrow aspirate and sputum, and a diagnosis of hemophagocytic lymphohistiocytosis (HLH) associated with disseminated tuberculosis was made. The patient was placed on airborne precautions in the intensive care unit. Antituberculosis therapy was initiated, but the patient died 55 days after presentation.
When will you stop to show other doctor’s cases and share with us your original cases??
I’ve been living with COPD for quite some time, and for years, I struggled to find lasting relief. While conventional medications provided temporary help, the symptoms always returned and often got worse.Out of a mix of hope and hesitation, I decided to try an herbal treatment program from NaturePath Herbal Clinic. I’ll admit, I was skeptical at first. But around the fourth month, I began to notice real, steady progress:My breathing became easier the tightness in my chest lessened my energy levels slowly started to return It wasn’t an overnight transformation, but it was consistent and truly life changing. For the first time in years, I feel more in control of my health. I can breathe more freely, sleep more peacefully, and enjoy daily life without the constant fatigue and breathlessness I once accepted as normal.The improvements I’ve experienced physically, emotionally, and mentally have been nothing short of uplifting.If you’re exploring natural options for managing COPD, I wholeheartedly recommend NaturePath Herbal Clinic. Their approach has made a real difference in my life, and I’m genuinely grateful I gave it a chance.www.naturepathherbalclinic.com info@naturepathherbalclinic.com