
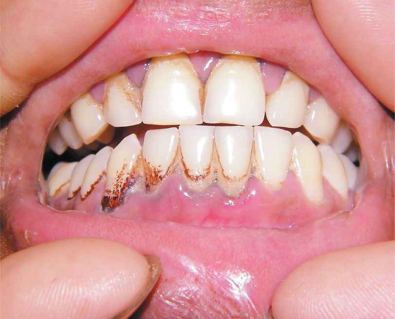
An 18-year-old nonsmoking man presented to the emergency department with a 1-week history of diffuse, colicky abdominal pain. He had had no change in his bowel or bladder function. He had worked in a battery-recycling factory for the past year. Examination revealed diffuse abdominal tenderness, as well as a bluish line around the gums, known as Burton's line. Results of routine hematologic, liver-function, and kidney-function tests were normal. Ultrasonography of the abdomen was unrevealing. The blood lead level was elevated at 81 ng per deciliter (3.9 nmol per liter) (reference range, <10 ng per deciliter [0.5 nmol per liter]). The patient was admitted to the hospital and started on chelation therapy with penicillamine. He was discharged in 2 weeks, after the pain had subsided and the blood lead level had declined; the Burton's line had disappeared. He was counseled regarding potential occupational exposure. In developing countries, occupational exposure is the main cause of lead poisoning. Persons working at sites where batteries or plastics are manufactured, at printing or recycling factories, or in the paint or ceramics industries are at greatest risk. Preventing exposure is the most critical intervention. In developing countries such as India that have a growing recycling industry, education regarding the hazards of heavy-metal poisoning is important.
First tell me Why is the examination being done without Gloves? Doctors please be Mindful