Feed
Library
Learning
Discuss
Leaderboard
Journal
Sign in
Login
Sign up
Sign in
Feed
Library
Learning
Discuss
Leaderboard
Journal
Arif Malik
almost 6 years ago
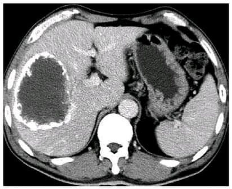
What is your diagnosis?
Doctor
Brain
Diagnosis
Emergency
12
2
6
Top rated comment
Amy Kosran
almost 6 years ago
Fissures
2
Reply
Other comments
Sign in
to post comments. You don't have an account?
Sign up now!
Ibthisam I
almost 6 years ago
Tumor??
0
Reply
Related posts
Suturing
Lactose Intolerance Diagnosis
Brain Blood Supply
VRF Diagnosis
Supraventricular tachycardia- Diagnosis
Atrial Septal Defect- Diagnosis
Reversible Causes for Emergent Conditions
Acute Abdomen Differential Diagnosis
https://www.facebook.com/StableGripSafetyBarOfficial/
Recent MCQs
Show more MCQs
Recent flashcard sets
Show more flashcards
Feed
Learn
Add
Search
Discuss