
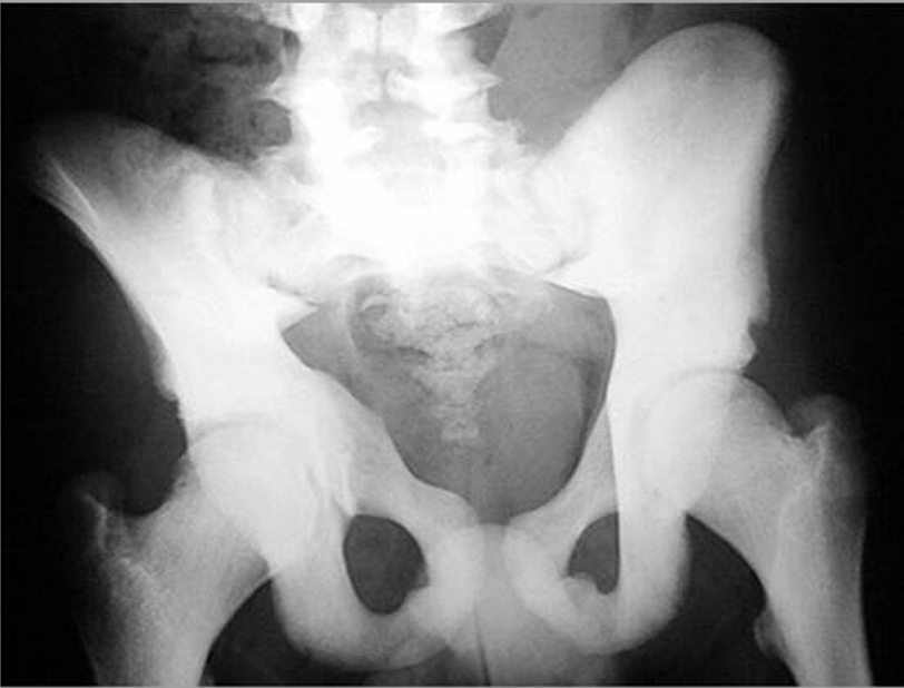
Osteopetrosis is an inherited connective tissue disease resulting in abnormally dense bones prone to fracture. Mutations in more than a dozen known genes result in dysfunctional osteoclasts and accumulation of old bone normally resorbed. In severe cases, malfunctioning endochondral bone replaces the marrow space, resulting in inadequate hematopoiesis. Resultant pancytopenia can lead to opportunistic infection and death in childhood. Compensatory hepatosplenomegaly ensues as a result of extramedullary hematopoiesis. Cranial nerve deficits can manifest, as attempted blood cell production in concert with ongoing hypertrophy enlarges bony structures of the skull. The continued production of abnormal endochondral bone also results in brittleness predisposing to fracture, which occurs even in patients with less severe forms and normal life expectancy. đ¸Treatment: HLA-matched bone marrow transplant to repopulate functional osteclast progenitors.