Feed
Library
Learning
Discuss
Leaderboard
Journal
Sign in
Login
Sign up
Sign in
Feed
Library
Learning
Discuss
Leaderboard
Journal
RN
Radiology Nation
over 7 years ago
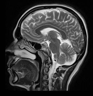
Lovely sagittal T2.
Medical
Anatomy
Radiology
Imaging
7
0
1
Other comments
Sign in
to post comments. You don't have an account?
Sign up now!
Related posts
Sublingual gland anatomy
Preparation for USMLE
Cellulitis, gangrene
Chest X-Rays
Suturing
Acne
Brain Blood Supply
Anatomy of Oral Cavity
Neck Muscles
Recent MCQs
Show more MCQs
Recent flashcard sets
Show more flashcards
Feed
Learn
Add
Search
Discuss