MEDizzy
MEDizzy
Sandeepreddy K Giraddy
Sandeepreddy K Giraddyover 7 years ago
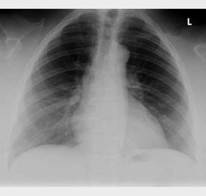
Identify the anatomical abnormality

Identify the anatomical abnormality

564
Top rated comment
over 7 years ago

Cliedocranial dystosis..absence of clavicle of conginataly

Other commentsSign in to post comments. You don't have an account? Sign up now!
over 7 years ago

Plz explain

over 7 years ago

Aortic anurysm....? biconvex widening of mediastinum....

over 7 years ago

What is it

over 7 years ago

Absence of clavicle?

over 7 years ago

Esophagectomy patient?

over 7 years ago

Air under diaphragm

over 7 years ago

Missing clavicles

Recent MCQs















Show more MCQs

Recent flashcard sets















Show more flashcards