MEDizzy
MEDizzy
Arif Malik
Arif Malikover 5 years ago
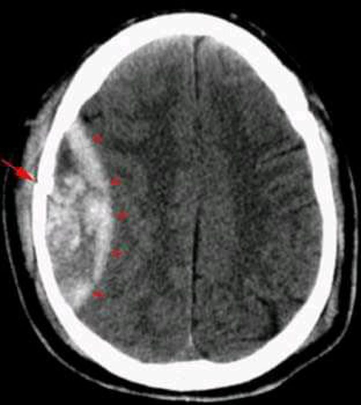
What is your diagnosis?

What is your diagnosis?

22
Top rated comment
over 5 years ago

Epidural hematoma(lens shape) with skull fracture

over 5 years ago

Perfect answer

Other commentsSign in to post comments. You don't have an account? Sign up now!
over 5 years ago

Epidural hemorrhage

over 5 years ago

Hematoma

over 5 years ago

Hematoma

over 5 years ago

EDH

over 5 years ago

EDH with skull fracture

over 5 years ago

Epidural hematoma

over 5 years ago

Epidural hematom

over 5 years ago

Epidural hematoma

over 5 years ago

Epidural Hematoma

12

Recent MCQs















Show more MCQs

Recent flashcard sets















Show more flashcards