
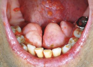
A 79-year-old man was admitted to the medical intensive care unit because of acute respiratory failure, cardiogenic shock, acute kidney injury, and urinary tract infection. He had a long-standing history of cor pulmonale. Incidentally, he was noted to have abnormalities on the lingual surface of the lower jaw. Three bony outgrowths were seen and diagnosed as mandibular tori (also known as tori mandibulares). The patient reported no history of a chewing disability, dysphagia, dysarthria, oral ulcers, or sleep disturbances associated with the oral findings. The patient recovered from cardiogenic shock and was discharged home. Tori are benign exostoses, and in most cases, the finding is incidental and requires no intervention, as in this case. Possible reasons for extirpation would be the need for prosthetic treatment and the need for a potential source of grafts, as in periodontal surgery. Sridhar Badireddi, M.D. University of Arkansas for Medical Sciences, Little Rock, AR Neeraja J. Boddu, M.D. Central Arkansas Veterans Healthcare System, Little Rock, AR source: nejm.org