
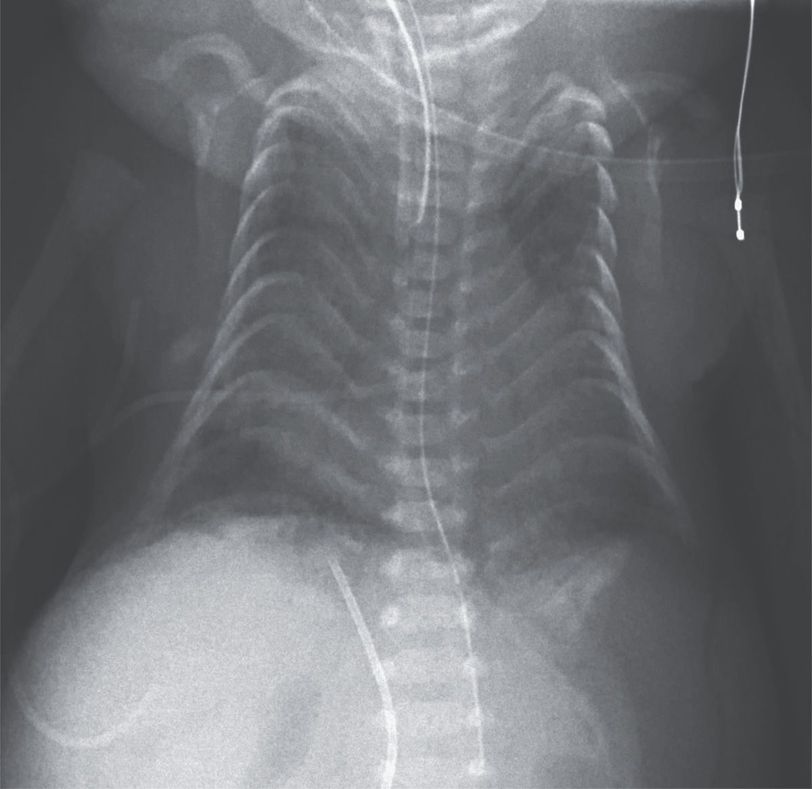
Respiratory distress developed in a male neonate immediately after birth at 28 weeks of gestation. The pregnancy had been complicated by preeclampsia, and delivery was performed by emergency cesarean section. The infant underwent intubation, and surfactant was administered through the endotracheal tube. Physical examination showed a giant omphalocele, webbed neck, and deformity of both hands. Antenatal ultrasonography at 22 weeks of gestation had shown the presence of an omphalocele and polyhydramnios. Chest radiography on the first day of life showed a narrowing of the rib cage with crowding of the ribs in a “coat hanger” appearance. On the basis of antenatal studies and the clinical presentation, a diagnosis of paternal uniparental disomy 14 was suspected. This disorder is caused by the inheritance of two copies of chromosome 14 from the father, resulting in a distinctive phenotype that includes the characteristic “coat hanger” deformity of the ribs. Genetic testing confirmed the diagnosis. After receiving ventilator support for 4 weeks, the infant died from a ruptured omphalocele and septic shock.