
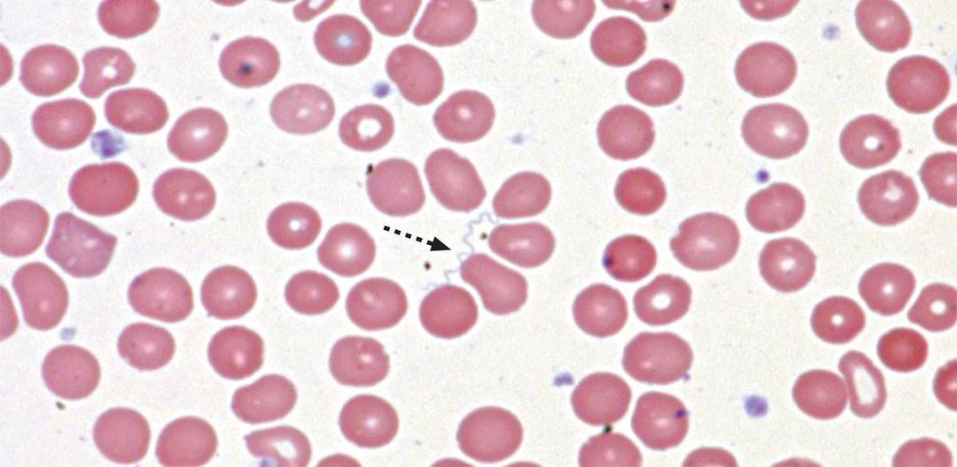
A 13-year-old girl presented with recurrent fevers, with temperatures up to 104°F (40°C), over a 3-week period, with associated headache, chills, and malaise. She and her family had stayed in a cabin in the eastern Sierra Nevada Mountains 10 days before she first had a fever. The patient's brother had similar symptoms. The siblings were febrile for 5 days and then symptom-free for 7 days. During a relapse of the girl's fever, blood was drawn; on examination of a blood smear, a Borrelia hermsii spirochete was detected (arrow). The rodent-associated B. hermsii spirochete is a common cause of tickborne relapsing fever in North America and is transmitted by the night-biting, soft tick Ornithodoros hermsii. Infected persons present with recurring episodes of high spiking fevers with accompanying headache, myalgias, and emesis. The initial febrile episode typically lasts 5 to 7 days, and subsequent episodes are shorter and of lesser severity. Because of their symptoms and recent travel to an area where tickborne relapsing fever is endemic, the siblings were treated with doxycycline for presumed B. hermsii infection. Tests for serum IgG and IgM antibodies to B. hermsii were subsequently positive. After the first dose of doxycycline, defervescence occurred in both patients and associated symptoms resolved.