
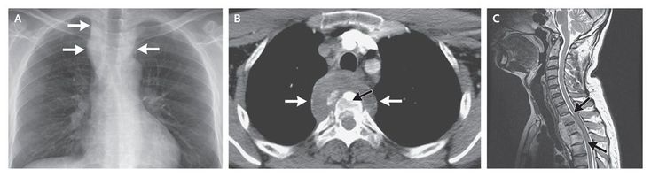
A 20-year-old man who was originally from Bangladesh presented to our clinic with a 6-month history of anorexia and weight loss. The physical examination was remarkable for a temperature of 39°C. Chest radiography showed a mass that appeared to be located in the posterior mediastinum (Panel A, white arrows). Computed tomography (CT) of the chest showed a paravertebral mass of soft tissue surrounding the vertebra (Panel B, white arrows), with destruction of vertebral bodies (black arrow). The mass extended from T1 to T5. Magnetic resonance imaging revealed compression and posterior displacement of the spinal cord without infiltration from the mass (Panel C, arrows). A specimen of the mass was obtained with CT-guided aspiration. The results of Ziehl–Neelsen staining of the tissue were positive, and Mycobacterium tuberculosis grew in a culture of the tissue, indicating Pott's disease. Antituberculous chemotherapy was prescribed. Subsequent radiographic studies showed that the mass had regressed, and the patient's clinical symptoms resolved within 3 months.