
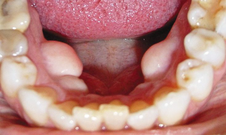
A 62-year-old woman presented for a routine dental examination. During the examination, she was asked about the increased tissue on the lingual surface of her lower jaw. The patient reported that the mass had been growing slowly for years and that several family members had similar growths. She reported no pain, pruritus, or other symptoms. On examination, four hard, sessile nodules were noted on the lingual surface, with normal overlying mucosa. No notable abnormalities were identified on panoramic radiographs. Exostoses are localized, benign bony protrusions. The most common oral exostoses are torus palatinus and torus mandibularis, which do not have cartilage involvement, owing to their anatomical location. There are many reasons for the development of exostoses, including genetic and environmental causes. They are generally asymptomatic. Removal of oral exostoses may be indicated before prosthetic rehabilitation or if complications from chronic trauma develop. Since this patient was asymptomatic, no intervention was required.