MEDizzy
MEDizzy
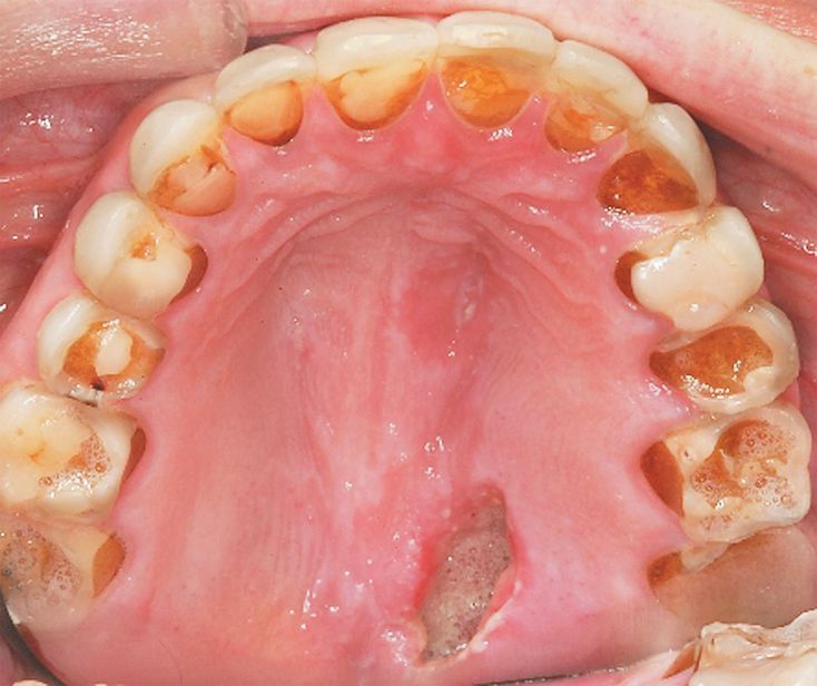
Bulimia Nervosa

Bulimia Nervosa

A 27-year-old woman presented with fatigue and a 4-day history of a painful sore in her mouth. Physical examination revealed a body-mass index (the weight in kilograms divided by the square of the height in meters) of 17.2, a deep ulcer of the posterior palate, severe tooth erosion with lingual decay, and swollen parotid glands. Laboratory studies revealed a serum potassium level of 2.6 mmol per liter and a bicarbonate level of 34 mmol per liter. The patient reported binge eating and self-induced vomiting several times daily. Given the binge-eating and purging behaviors, as well as hypokalemic metabolic alkalosis, palatal ulceration, and severe tooth erosion and decay, she was given a diagnosis of bulimia nervosa. Persons with eating disorders are likely to present in a primary care setting, and health care providers are in a unique position to identify the coexisting conditions and provide early detection, treatment, and appropriate referrals. This patient was hydrated with intravenous saline and was seen by the psychiatry and dentistry services. At the 1-year follow-up, the patient reported normal eating habits and her physical examination and results of laboratory tests were normal.

62
Other commentsSign in to post comments. You don't have an account? Sign up now!

Recent MCQs















Show more MCQs

Recent flashcard sets















Show more flashcards