
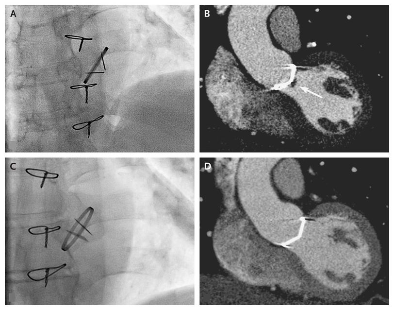
A 63-year-old man with a bileaflet mechanical aortic-valve replacement presented with a 3-week history of no audible leaflet clicks. Since he had undergone valve placement 6 years earlier for endocarditis, the clicks had always been clearly audible. The physical examination revealed a new systolic murmur and confirmed the absence of leaflet clicks. Transthoracic echocardiography showed a severely increased peak gradient (75 mm Hg, as compared with 32 mm Hg at baseline) over the mechanical aortic valve, and diminished opening of both leaflets was detected on fluoroscopy (Panel A). Cardiac computed tomographic angiography (CTA) revealed a hypodense mass on the leaflets that was suggestive of thrombus, although a vegetation could not be ruled out (Panel B, arrow; and video 1). Target values for the international normalized ratio were increased from 3.0 to 4.0, and aspirin was administered. The patient was scheduled to undergo repeat aortic-valve replacement in 12 weeks. However, when he was subsequently admitted for surgery, he reported hearing the leaflet clicks again. The patient reported having had no symptoms of embolic events during this period. Transthoracic echocardiography showed normalization of the pressure gradient, and fluoroscopy showed normal opening of both leaflets (Panel C), which was suggestive of thrombus resolution, as confirmed on CTA (Panel D, and video 2). These images illustrate that the absence of clicks from a prosthetic heart valve requires urgent evaluation.