MEDizzy
MEDizzy
Masood .shaik
Masood .shaik about 6 years ago
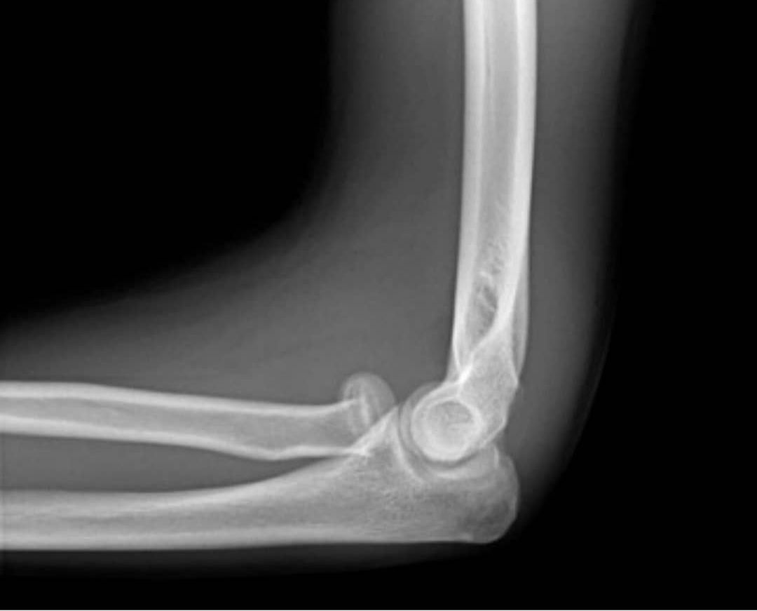
Fourteen years old boy  with Salter

Fourteen years old boy with Salter

Fourteen years old boy with Salter harries type one fracture of the proximal radius and avulsion of the medical epicondyle.

4
Other commentsSign in to post comments. You don't have an account? Sign up now!

Recent MCQs















Show more MCQs

Recent flashcard sets















Show more flashcards