Feed
Library
Learning
Discuss
Leaderboard
Journal
Sign in
Login
Sign up
Sign in
Feed
Library
Learning
Discuss
Leaderboard
Journal
Dr Darshan Sn
almost 4 years ago
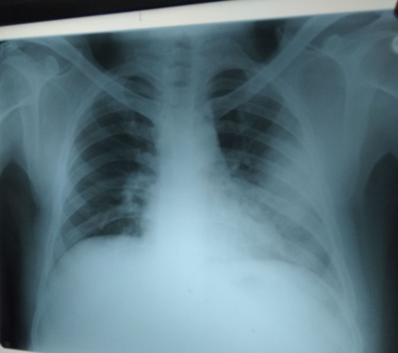
Pneumonia
Xray
Medicalschool
Pulmonology
Chest
Pneumonia
show 1 more
27
1
9
Top rated comment
Prashant Sharma
almost 4 years ago
This xRay in Tubarcloss dissi
0
Reply
Other comments
Sign in
to post comments. You don't have an account?
Sign up now!
Related posts
How to get rid of cough?
Tips to avoid cough
Symptoms of pneumonia
open pneumothorax
closed pneumothorax
Tension pneumothorax
Ace Your Respiratory Examination OSCE - With This Clinical Skills Master Class - Dr Gill
Doctor Explains: How to PURIFY Smokers Lungs!
Bronchitis
Chest X-Rays
Recent MCQs
Show more MCQs
Recent flashcard sets
Show more flashcards
Feed
Learn
Add
Search
Discuss