Feed
Library
Learning
Discuss
Leaderboard
Journal
Sign in
Login
Sign up
Sign in
Feed
Library
Learning
Discuss
Leaderboard
Journal
Mittal Jitubhai Patel
almost 6 years ago
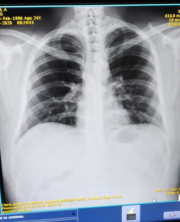
Diagnosis?
Medicine
Medstudent
Medical
535
1
2
Top rated comment
Raveesh Kumar Singh
almost 6 years ago
Trachea shift towards left side .It may be a case of left side fibrosis of lungs
0
Reply
Other comments
Sign in
to post comments. You don't have an account?
Sign up now!
Related posts
Breastfeeding and Medications II
Medical Symptoms I
Preparation for USMLE
Cellulitis, gangrene
Effects of sugar on teeth
Chest X-Rays
Suturing
Acne
Neurofibromatosis
Recent MCQs
Show more MCQs
Recent flashcard sets
Show more flashcards
Feed
Learn
Add
Search
Discuss