
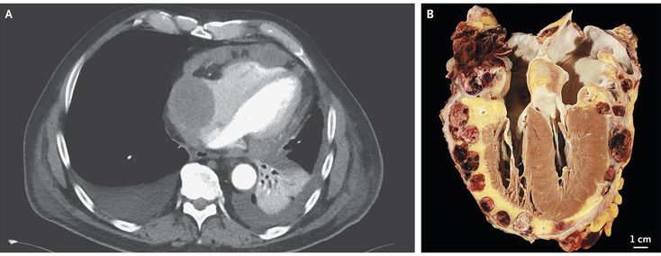
A 66-year-old man presented to the emergency department with a 4-day history of shortness of breath and swelling in the legs. He also reported feeling fatigued and having had a recent 15-kg weight loss. A transthoracic echocardiogram showed a mass in the right atrium that appeared to be infiltrating the pericardium. This mass was also visualized on computed tomography of the chest (Panel A). No evidence of metastatic lesions was found on 18F-fluorodeoxyglucose positron-emission tomography. Examination of a biopsy specimen from the lesion revealed high-grade angiosarcoma. Tumor-debulking surgery was performed, and adjuvant chemotherapy was planned; however, hemodynamic instability developed, and despite receiving maximal supportive therapy, the patient died in the intensive care unit. An autopsy was performed, and gross pathological examination of the heart revealed extensive infiltration of the tumor into the epicardium (Panel B).