Feed
Library
Learning
Discuss
Leaderboard
Journal
Sign in
Login
Sign up
Sign in
Feed
Library
Learning
Discuss
Leaderboard
Journal
Nuclear Medicine
10 months ago
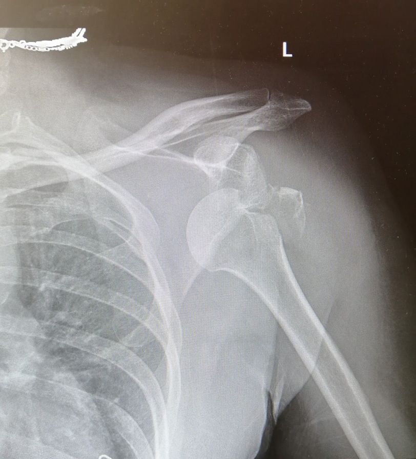
shoulder dislocation with fracture of the greater tuberosity
Left shoulder Ap view
Xray
Fracture
Shoulder
Dislocation
Traumatology
21
0
5
Other comments
Sign in
to post comments. You don't have an account?
Sign up now!
Related posts
Alveolar Fracture
Impacted tooth and fracture
Hemodynamic stimuli&nonhemodynamic stimuli
Fracture of alveolar process
Fracture of maxillary tuberosity
Naso Orbital Ethmoid fracture
Plating of mandible fracture
Intraoral incision with percutaneous cannula
Surgical Wiring for Mandible Fracture Stabilization
Chest X-Rays
Recent MCQs
Show more MCQs
Recent flashcard sets
Show more flashcards
Feed
Learn
Add
Search
Discuss