
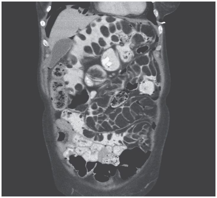
A 74-year-old woman presented to the gastroenterology clinic with a long history of bloating and abdominal distention. On physical examination, the abdomen was found to be distended but was nontender on palpation, with normal bowel sounds. Findings on computed tomography of the abdomen and pelvis were consistent with fat-containing lesions throughout the small bowel. Esophagogastroduodenoscopy showed numerous submucosal masses in the duodenum with a pillow sign (i.e., indentation of a subepithelial lesion when prodded with biopsy forceps). Unroofing of the subepithelial lesion on biopsy revealed yellow adipose tissue. Histopathological examination confirmed the presence of mature adipose tissue consistent with lipoma. Intestinal lipomatosis involves multiple lipomas in the small or large intestine. Patients may be asymptomatic or have mild symptoms or present with complications of bowel obstruction or intussusception. No specific treatment is available except for surgical management in severe or complicated cases. Surgery was not offered in this case because of involvement of the entire small bowel. At the 3-month follow-up, the patient reported a moderate reduction in symptoms after some dietary alterations.