
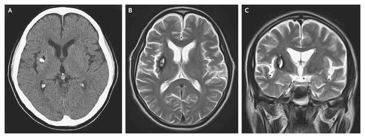
A 65-year-old man presented with a 10-year history of involuntary movements of his left hand. Neurologic examinations showed hemichorea in his left arm (see video) that disappeared during sleep. Computed tomography of the brain revealed a calcified lesion in the right putamen (Panel A). T2-weighted magnetic resonance imaging of the brain showed mixed signal intensity, with a central core and a peripheral rim of decreased intensity in the right putamen (Panels B and C) that suggested cavernous angioma. The results of magnetic resonance angiography were normal. Oral intake of haloperidol, sodium valproate, and zonisamide did not improve the symptom. Hemichorea is an occasional complication of various vascular disorders affecting the contralateral basal ganglia, but this manifestation is usually transient. Putaminal cavernous angioma, a rare cause of hemichorea, can yield an intractable pathologic circuitry among the basal ganglia and cortical motor areas.
Video link. https://youtu.be/0X4HtApu8uk