Feed
Library
Learning
Discuss
Leaderboard
Journal
Sign in
Login
Sign up
Sign in
Feed
Library
Learning
Discuss
Leaderboard
Journal
Dr.Vamsi Malepati
over 7 years ago
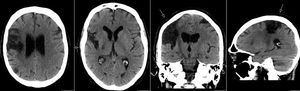
Wallerian degeneration
Physiology
Radiology
Nervous System
4
0
1
Other comments
Sign in
to post comments. You don't have an account?
Sign up now!
Related posts
Bone resorption by osteoclasts
Bone (physiology)
How to Read MRI I
How to Read MRI II
Bu
Basic Brainstem Radiology
Spine Radiology I
Spine Radiology II
Recent MCQs
Show more MCQs
Recent flashcard sets
Show more flashcards
Feed
Learn
Add
Search
Discuss