
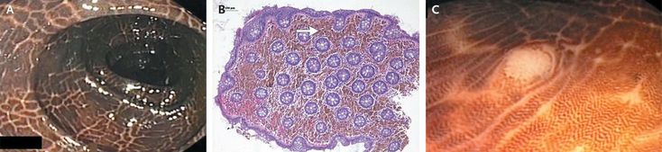
A 50-year-old woman underwent colonoscopy for rectal bleeding. Her entire colon appeared dark brown and black, a finding consistent with the diagnosis of melanosis coli (Panel A). Random biopsy specimens from the descending colon revealed sheets and clusters of macrophages laden with brownish pigment in the lamina propria (Panel B, arrow). A tiny, unpigmented polyp (approximately 2 to 3 mm in diameter) was seen in the rectum (Panel C); histopathological examination revealed a tubular adenoma. Mild internal hemorrhoids were the cause of the rectal bleeding. The patient reported taking rhubarb and cascara-containing complementary medicine as mild laxatives for years. The active ingredient in these substances is anthraquinone, which causes injury to the colonic epithelial cells, resulting in the production of lipofuscin, the dark pigment seen in melanosis coli. The condition is benign and reversible. Disappearance of the pigment generally occurs within a year after a patient stops taking anthraquinone. The detection of adenomas may be easy in a patient with melanosis coli because of the pigmented backdrop.