
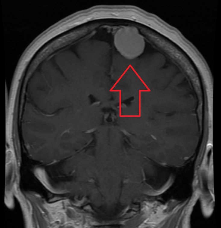
A Meningioma is a Tumor that arises from the meninges — the membranes that surround your brain and spinal cord. Most Meningiomas are noncancerous (benign), though rarely a Meningioma may be Cancerous (malignant). Some Meningiomas are classified as atypical, meaning they're neither benign nor malignant but, rather, something in between. A Meningioma doesn't always require immediate treatment. A Meningioma that causes no significant signs and symptoms may be monitored over time. Signs and symptoms of a Meningioma typically begin gradually and may be very subtle at first. Depending on where in the brain or, rarely, spine the Tumor is situated, signs and symptoms may include: Changes in vision, such as seeing double or blurriness Headaches that worsen with time Hearing loss Memory loss Loss of smell Seizures Weakness in your arms or legs