Feed
Library
Learning
Discuss
Leaderboard
Journal
Sign in
Login
Sign up
Sign in
Feed
Library
Learning
Discuss
Leaderboard
Journal
Dc
Dr curious
almost 6 years ago
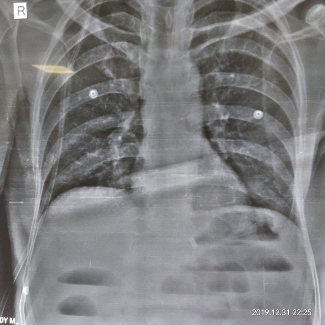
What is the diagnosis?
Radiology
Chestxray
Generalmedicine
6
2
1
Top rated comment
Aya Saad
almost 6 years ago
Multiple air fluid level in intestinal obstruction
2
Reply
Other comments
Sign in
to post comments. You don't have an account?
Sign up now!
S
Soley
over 5 years ago
Small intestine occlusion ?
0
Reply
Related posts
Radiology Review II
Radiographs in dentistry
Pubic Rami
Closed Loop
How to Read MRI I
How to Read MRI II
Basic Brainstem Radiology
Spine Radiology I
Spine Radiology II
Recent MCQs
Show more MCQs
Recent flashcard sets
Show more flashcards
Feed
Learn
Add
Search
Discuss