
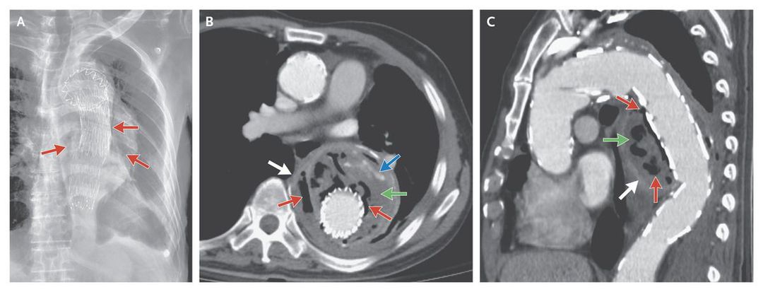
A 75-year-old man presented to the emergency department with a 5-day history of back pain and intermittent fever. He had undergone endovascular aortic repair of a thoracic aortic aneurysm 7 years previously. He had poor oral hygiene and dental caries. Physical examination revealed diminished breath sounds on the left side. Blood tests revealed leukocytosis. A radiograph of the chest showed changes consistent with stent-graft repair of the thoracic aortic aneurysm, gas around the stent graft (Panel A, arrows), and pleural effusion on the left side. Computed tomography revealed multiple findings involving the aneurysmal sac, including gas bubbles, fluid collection, endoleak (leakage of blood into the aneurysm), and enhancement of the aneurysmal wall (Panel B, axial view, and Panel C, oblique sagittal view; red, green, blue, and white arrows, respectively). Blood culture yielded Streptococcus oralis. The fever and leukocytosis subsided gradually after the administration of intravenous penicillin G. Surgical excision of the infected segment of aorta was planned, but on the 20th hospital day, the patient had a sudden episode of massive bloody vomiting and died. Emphysematous aortitis is a life-threatening complication after endovascular aortic repair. In our patient, septicemia from poor oral hygiene was the presumed cause of this late complication.