
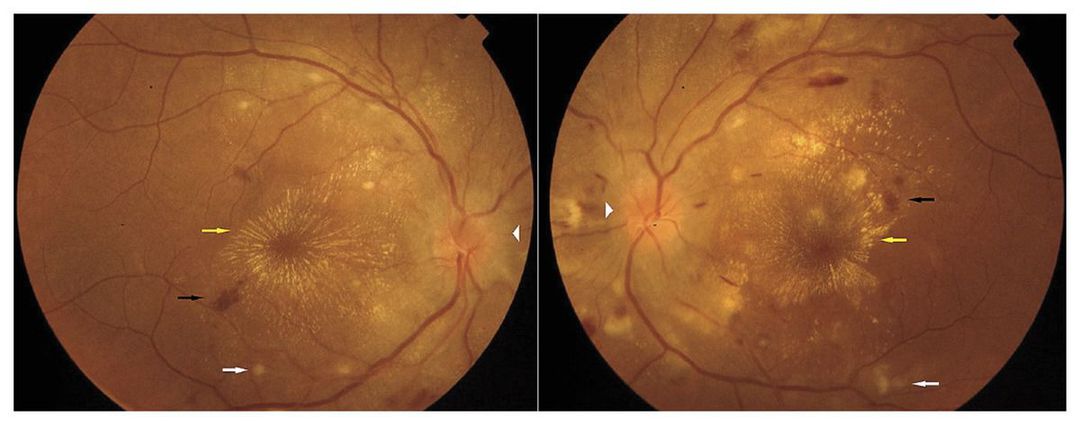
A 25-year-old primigravida at 36 weeks of gestation presented with a 2-week history of headache, light flashes, and blurred vision in both eyes. Her corrected visual acuity was 20/40 in the right eye and 20/50 in the left eye. Funduscopic examination revealed bilateral grade 4 hypertensive retinopathy, with widespread hemorrhages (black arrows), cotton-wool spots (white arrows), hard exudates in a star shape (yellow arrows) in the macular region, and swelling of the optic disks (arrowheads). Physical examination revealed a blood pressure of 220/140 mm Hg and pedal edema. A 24-hour urine specimen showed proteinuria (protein, 7.4 g). Severe preeclampsia was diagnosed. The patient was referred to the obstetrical department and, after initial stabilization, underwent prompt cesarean delivery, which resulted in the birth of a low-birth-weight boy (1900 g); the 1-minute and 5-minute Apgar scores were 8 and 9, respectively. Three months later, the exudates had spontaneously resolved, and the patient slowly regained visual acuity of 20/25 in both eyes.