MEDizzy
MEDizzy
SH
Sadbean Hossain almost 6 years ago
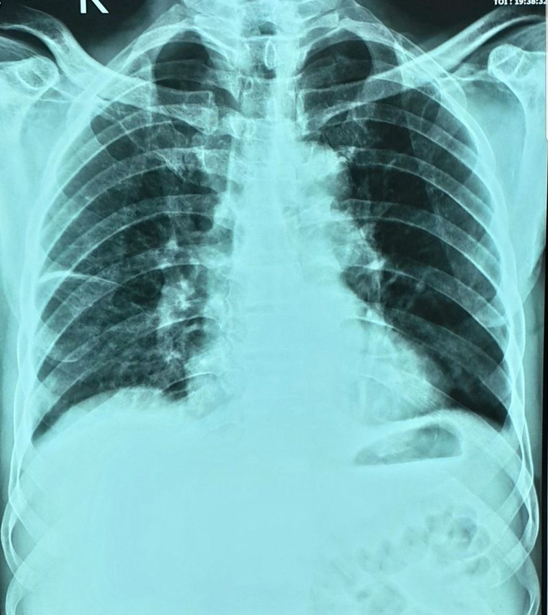
A 65 year old man with fever

A 65 year old man with fever

535
Top rated comment
almost 6 years ago

It si not a really good X ray because it si overexpoused and rotated to the left side. But it seems to be some kind of liquid collection no the right cisure. Also the nodes on the right hillium are big. Could be cancer??

almost 6 years ago

HRCT Chest was done which showed no nodal enlargement.

Other commentsSign in to post comments. You don't have an account? Sign up now!

Recent MCQs















Show more MCQs

Recent flashcard sets















Show more flashcards