Feed
Library
Learning
Discuss
Leaderboard
Journal
Sign in
Login
Sign up
Sign in
Feed
Library
Learning
Discuss
Leaderboard
Journal
Loujain Hekmat Ahmad
6 months ago
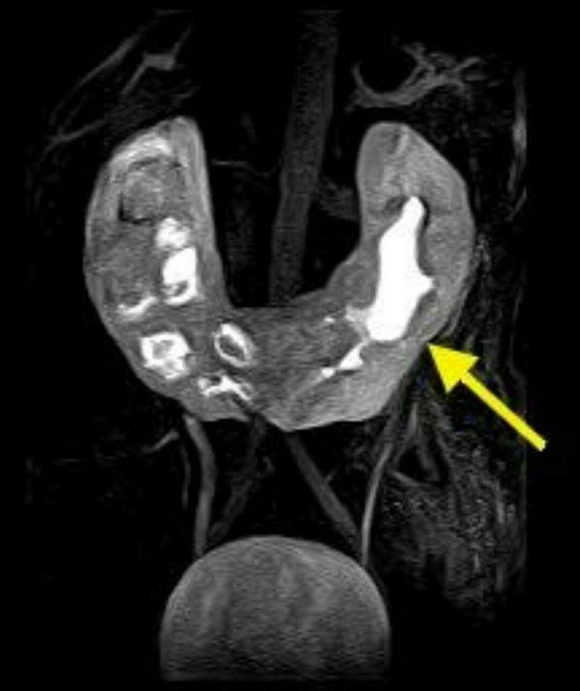
Horseshoe kidney
Medicine
Doctors
Nephrology
30
0
12
Other comments
Sign in
to post comments. You don't have an account?
Sign up now!
Related posts
Treatment for nephrotic syndrome
Breastfeeding and Medications II
Renal Failure, Chronic Kidney Disease l End Stage Renal Disease for Nursing Exams, NCLEX RN & LPN
Uremia
Importance of USMLE
Neurofibromatosis
Women’s Reproductive Health & Daily Wellness
Gelatine Sculpt | Official Website
BurnSlim Official | Support Your Weight Management Journey
Recent MCQs
Show more MCQs
Recent flashcard sets
Show more flashcards
Feed
Learn
Add
Search
Discuss