MEDizzy
MEDizzy
Latifa ALEEMI
Latifa ALEEMIalmost 6 years ago
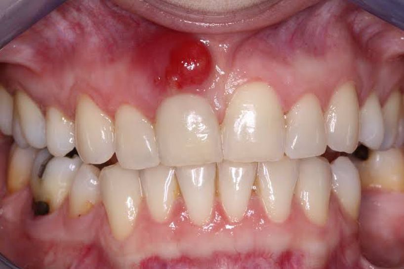
Diagnose plzz🤔

Diagnose plzz🤔

16
Other commentsSign in to post comments. You don't have an account? Sign up now!
almost 6 years ago

Syphilis?

almost 6 years ago

No

almost 6 years ago

Upper Gum Ca?

almost 6 years ago

Dental Cyst😇

erythroplaqua or mybe pregnant tumer

almost 6 years ago

No doc.. this is dental Cyst

almost 6 years ago

Ds

Recent MCQs















Show more MCQs

Recent flashcard sets















Show more flashcards