MEDizzy
MEDizzy
K
Kiraover 7 years ago
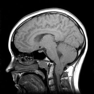
Chiari Malformation

Chiari Malformation

Arnold Chiari Malformation 24mm in an 18yr old female. History of balance problems, nystagmus, pain and numbness down right arm.

577
Other commentsSign in to post comments. You don't have an account? Sign up now!

Recent MCQs















Show more MCQs

Recent flashcard sets















Show more flashcards